Примеры работ

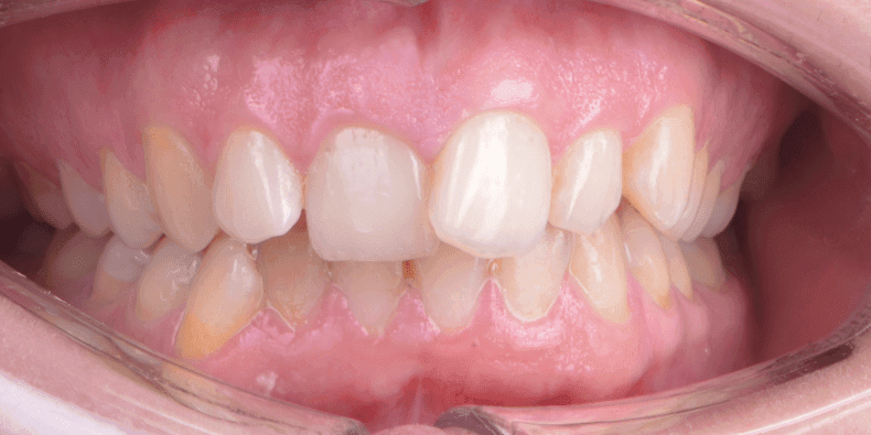
  • Отбеливание зубовФото до
    Отбеливание зубовФото после

    Отбеливание зубов

    Отбеливание зубов с помощью светового отбеливания

  • Установка брекет-системыФото до
    Установка брекет-системыФото после

    Установка брекет-системы

    Установка брекет-системы с помощью современных ортодонтических технологий для исправления прикуса и выравнивания зубов

  • Отбеливание зубовФото до
    Отбеливание зубовФото после

    Отбеливание зубов

    Отбеливание зубов с помощью светового отбеливания

  • Отбеливание зубовФото до
    Отбеливание зубовФото после

    Отбеливание зубов

    Отбеливание зубов с помощью светового отбеливания

  • Отбеливание зубовФото до
    Отбеливание зубовФото после

    Отбеливание зубов

    Отбеливание зубов с помощью светового отбеливания

Запишитесь на консультацию

Наш менеджер ответит на все ваши вопросы.